L'ANALISI
26 Maggio 2025 - 17:19
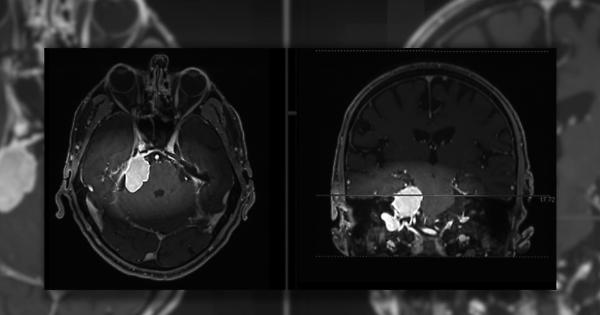
Meningiomi, i sintomi da tenere d'occhio
Copyright La Provincia di Cremona © 2012 Tutti i diritti riservati
P.Iva 00111740197 - via delle Industrie, 2 - 26100 Cremona
Testata registrata presso il Tribunale di Cremona n. 469 - 23/02/2012
Server Provider: OVH s.r.l. Capo redattore responsabile: Paolo Gualandris